Wednesday, March 8, 2023

+12 Sherman Oaks Dental Group 2023

+12 Sherman Oaks Dental Group 2023. Web sherman oaks cosmetic & implant group is dentist office in sherman oaks. Insurance might cover all the cost!

SHERMAN OAKS COSMETIC & IMPLANT DENTAL GROUP 87 Reviews 4955 Van
SHERMAN OAKS COSMETIC & IMPLANT DENTAL GROUP 87 Reviews 4955 Van from www.yelp.com

Book an appointment, user rating and reviews, contacts for sherman oaks cosmetic & implant group Insurance might cover all the cost! Their office facility in sherman oaks is clean, modern, has easy parking, and conveniently located.

9Am To 1Pm (By Appointment Only) Happiness Delivered By Legwork


Proudly serving sherman oaks, encino, tarzana, valley village, studio city, and all surrounding areas. Web sherman oaks and encino dentist, sc dental group offers the best dental care to our patients. Web he and all of his staff offer the best expertise, care, professionalism, and service one could expect from a great dentistry practice.

I Visited This Office December 2021.


I paid some additional charges the day of my treatment for fillings. We have been the family dental practice of choice for residents of sherman oaks, encino, north hollywood and surrounding cities since 1996. Call today for an appointment!

Sherman Oaks Dental In Sherman Oaks, Ca Provides Comprehensive Dental Solutions Including Cosmetic Dentistry, Dental Implants, And Orthodontics.


Eisner health offers our patients basic dental care including cleanings, exams, sealants, tooth extractions, limited fillings and preventative education, serving the communities around downtown los angeles, lynwood, and sherman oaks. Call us today to learn more! Web start your review of sherman oaks dental.

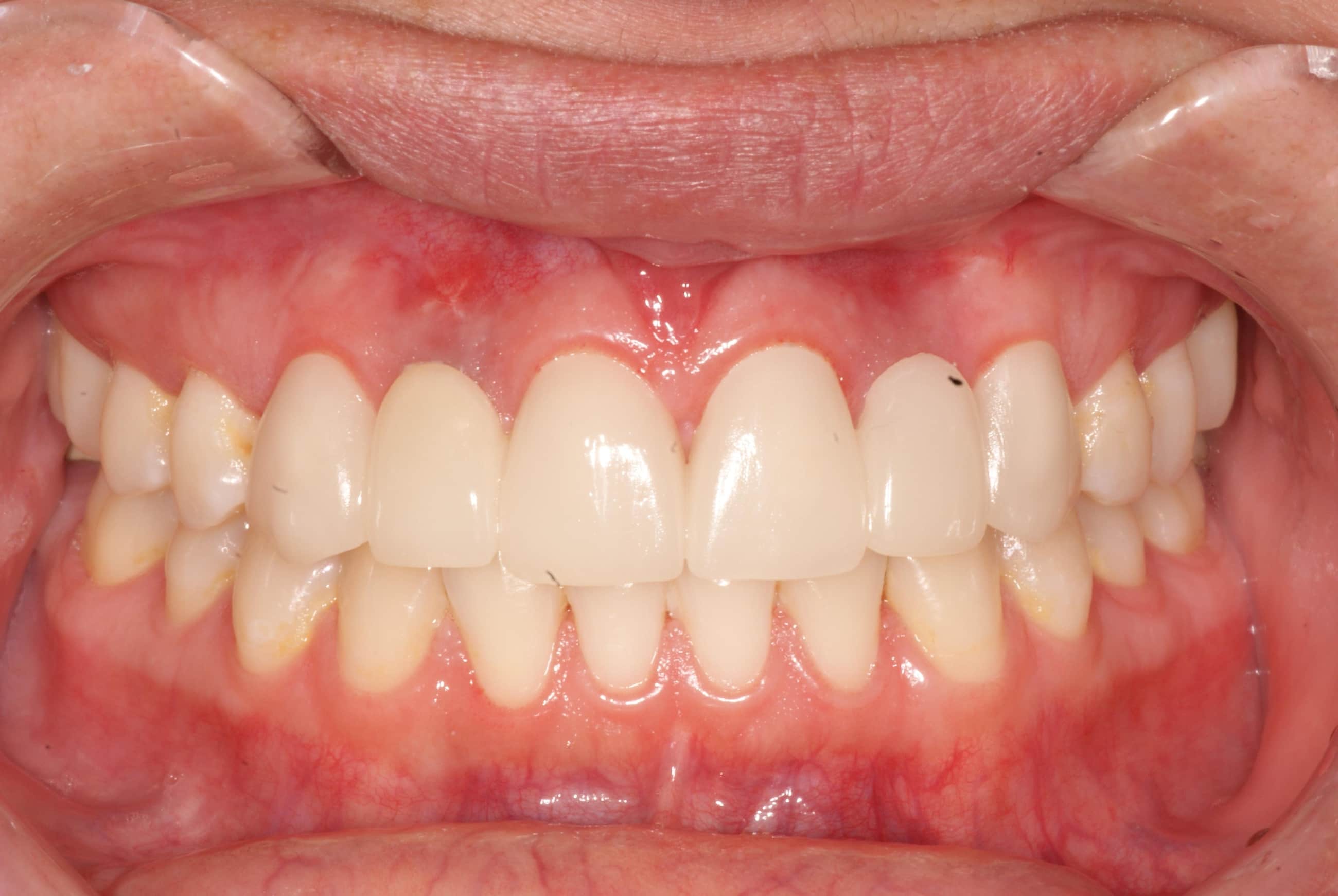
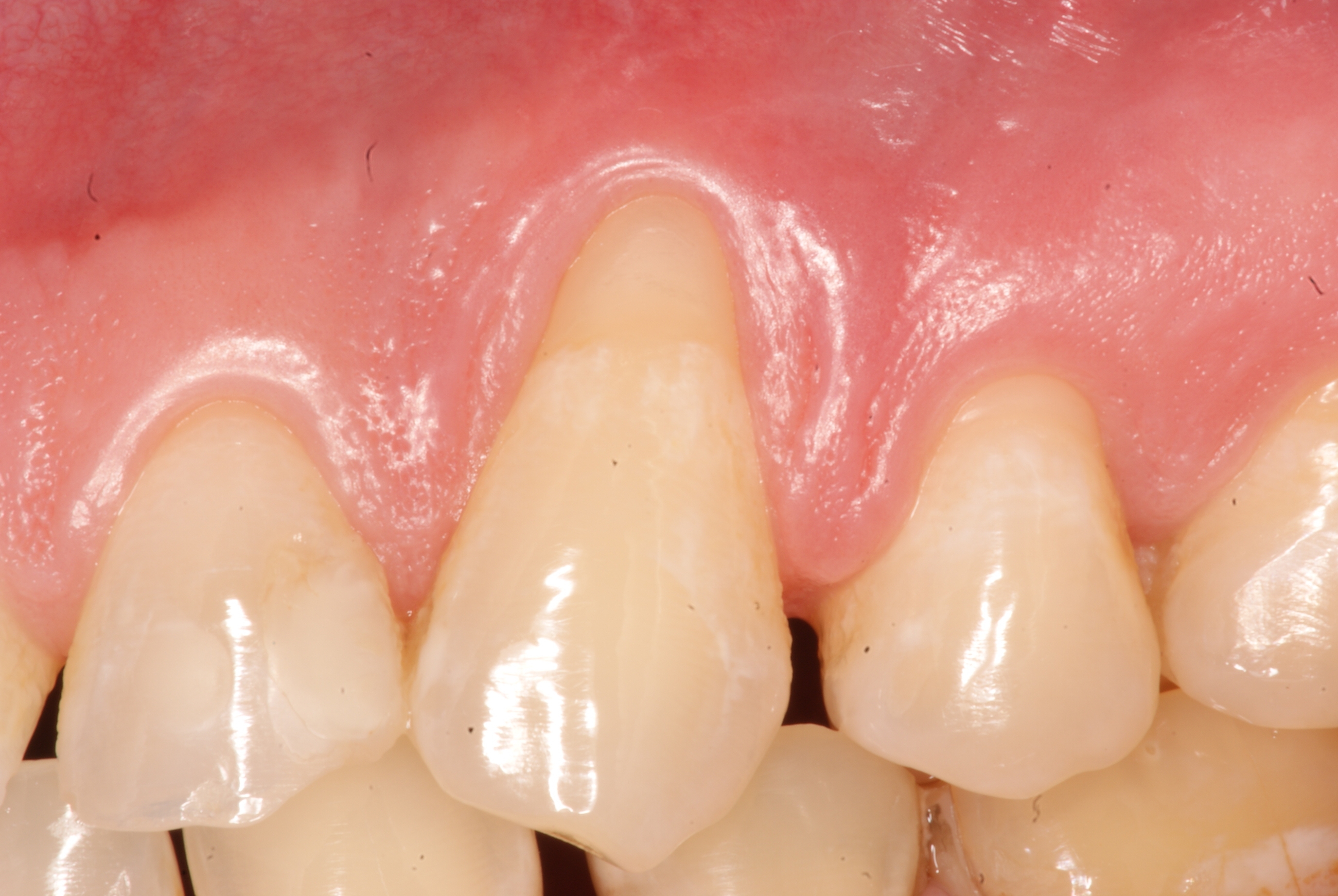
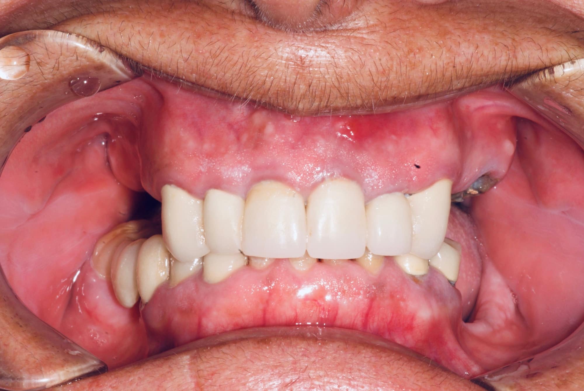
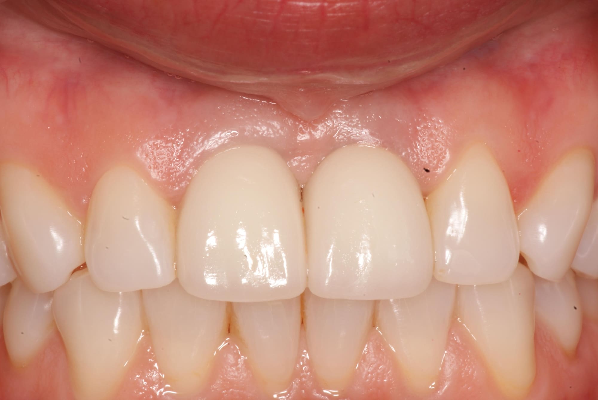
Web Some Before And After Photos Of Our Work:


Book an appointment, user rating and reviews, contacts for sherman oaks cosmetic & implant group Web sc dental group offers a range of general & cosmetic dentistry services including invisalign & dental implants in the sherman oaks, ca area. Web unhappy with your smile?

Join To View Profile Sherman Oaks Dental.


Implants, implant reconstruction, cosmetic veneers, gum grafts, crowns, and more. Web encino family dental group is located at 14912 burbank blvd in sherman oaks, california 91411. Web we aim to optimize each patient’s experience by allowing them to print each of the new patient forms and bring them with you, already filled out, to our office.

No comments:

Post a Comment

40 Gorgeous Balayage Hair Color Ideas Best Balayage Highlights

Table Of Content #13: Bright and Gorgeous Balayage #6: Color-Corrected Brown Balayage #28: Toasted Blonde with Dark Roots Choosing the Right...